

Превадент е семейна дентална практика с фокус върху предоставянето на отлични грижи за зъбното и цялостно здраве на пациентите си.През 2020 г. нашият ангажимент да сме в крак с най-новите техники и технологии ни доведе до решението да изградим собствен дигитален рентгенов кабинет. За целта заложихме на апаратура от световните лидери в образната диагностика.Първоначалното намерение бе рентгенът да работи ексклузивно с пациенти на практиката, но интересът на наши колеги ни мотивира да преструктурираме рентгеновия кабинет, за да отворим вратите си за всички пациенти от района.


Периапикална / Сегментна рентгенография

Байтуинг / Bitewing - кариес диагностика

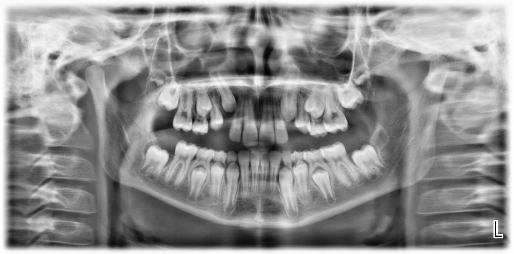
Ортопантомография / Панорамна снимка

Телерентгенография

Planmeca ProMax 2D
Ортопантомограф, който се характеризира с:
- около 80% по-малко облъчване спрямо конвенционалните апарати.- намалено време за експонация при запазване на висока диагностична стойност на графиите.- възможност за изследване на пациенти в инвалидни колички.- телерентгенографии с отличен контраст и изобразяване на меките тъкани.

Planmeca ProX
Интраорален рентгенов апарат, характеризиращ се с бързо и лесно позициониране при изследване, за максимален комфорт на пациента.

За още по-голяма безопасност на пациентите, интраоралният ни рентген е оборудван и със специален тубус, който фокусира рентгеновите лъчи само в мястото, което искаме да бъде диагностицирано!

Dürr VistaScan
VistaScan е дигитален скенер за интраорални фосфорни плаки. Те са:
- с висока разделителна способност.
- меки и гъвкави, наподобяващи конвенционалните рентгенови плаки.
- обработват се за няколко секунди.
Работно Време
Понеделник - 8:30 - 15:30
Вторник - 8:30 - 18:30
Сряда - 8:30 - 18:30
Четвъртък - 8:30 - 18:30
Петък - 8:30 - 15:30
Събота - 9:00 - 12:00
Неделя - почивен ден
Адрес
ул. „Цар Борис III-ти“ 11
Монтана, БългарияРентгенът се намира в ниската сграда на поликлиниката и има самостоятелен вход от бул. „Александър Стамболийски“
088 69 49 000
prevadent.xray@gmail.com
